The patient had several missing teeth in her lower arch and her remaining teeth were severely compromised with deep cavities and periodontal disease. She underwent removal of her teeth followed by placement of three mini implants and two regular implants in the lower arch and had a complete denture (removable) for the upper arch. A lower overdenture was fabricated which is supported by the dental implants.
Our client had no teeth in the upper arch and missing teeth at the back in the lower arch. Five implants were placed in the upper arch and four in the lower arch. A removable over denture was fabricated for the upper arch which is supported by the implants and a fixed bridge was placed on the implants in the lower arch on both sides. She now has a brand new smile and has her chewing ability restored.
The patient had no teeth in the upper arch and several missing teeth in the lower arch. He chose to have mini implants in the lower arch which provide support to the lower removable over denture. The upper arch has a removable complete denture.
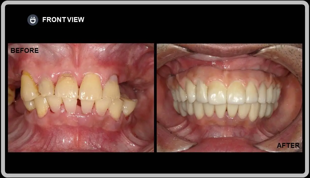
Our client had several missing teeth at the back and had difficulty chewing. The upper teeth in the front were also compromised. He chose to undergo removal of the upper teeth followed by 6 implant placements in the upper arch and 4 implant placements in the lower arch. After a period of approximately 5 months, screw retained zirconia bridge was fixed on the upper implants and similar process was followed for the lower posterior implants. The lower front teeth received 8 dental crowns which improved the aesthetics of his smile!
Our client had several missing teeth in the front and the remaining teeth had poor prognosis since they were periodontally compromised. He chose to undergo dental implants surgery with 6 implants placed in the upper arch and 7 regular and 2 mini implants placed in the lower arch. He then opted for removable over dentures supported by the implants.
The treatment of a deep bite, a dental condition where the upper front teeth significantly overlap the lower front teeth, involves orthodontic correction. Orthodontic treatment realigned the teeth and adjusted the position of the overlapping front teeth and aligned the malpositioned posterior teeth to achieve contact between them.
There are multiple options to treat the issues that our patients come with. Here the patient had misaligned teeth with spaces between the teeth as well as few missing teeth on the upper right side. Orthodontic treatment was performed to align the teeth and resolve the issue of spaces between teeth. Thereafter, the missing teeth were replaced with a removable partial denture to improve the patients smile and ability to chew.
The patient had spaces between their teeth and some misaligned teeth which were fixed with orthodontic treatment.
The patient had an overjet where the upper front teeth protrude significantly beyond the lower front teeth which can affect speech as well as the appearance of an individual. With the help of braces, the teeth were gradually repositioned into a more harmonious and balanced position. In some cases, additional procedures like tooth extraction or surgical intervention may be necessary for more complex overjet issues.
Braces or clear aligners are commonly used to address open bites. These orthodontic devices gradually reposition the teeth to improve their alignment and help close the open gap. Orthodontic treatment may also involve using additional appliances, such as rubber bands or headgear, to encourage proper jaw positioning. In severe open bite cases that are primarily caused by skeletal issues or jaw misalignment, orthodontic treatment alone may not be sufficient. Orthognathic surgery, also known as jaw surgery, may be recommended.
In cases of severe crowding or when there is insufficient space in the jaw, teeth erupt in wrong or unexpected areas in the jaw. The extraction of one or more teeth maybe required to provide the necessary space for the remaining teeth to be aligned correctly. Orthodontic treatment reposition teeth into a more aesthetically pleasing and functional arrangement.
Pompano Beach, FL
Monday:
9:00 am-5:00 pm
Tuesday:
Closed
Wednesday:
9:00 am-5:00 pm
Thursday:
Closed
Friday:
Closed
Saturday:
8:00 am-1:00 pm
Sunday:
Closed