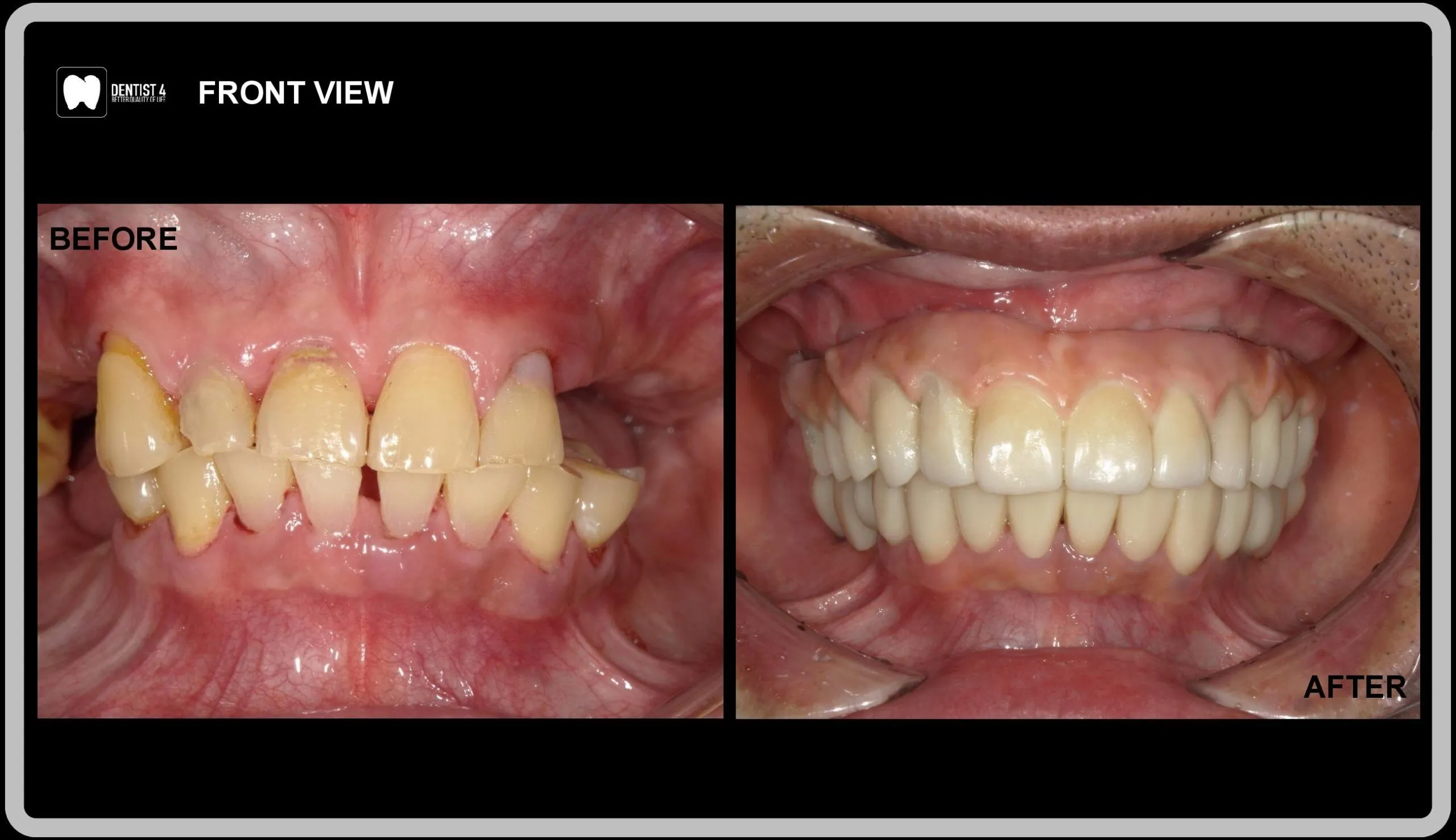
Dental Implants

Implant placement offers a reliable and long-lasting solution for individuals seeking to restore missing teeth and regain optimal oral function. Whether it’s a single missing tooth or multiple missing teeth, dental implants provide a versatile treatment option.

For single-tooth restorations, a dental implant can be placed, followed by the attachment of a crown, seamlessly blending with the natural teeth. In cases where several adjacent teeth are missing, implant bridges can be utilized to restore the aesthetics and functionality of the dental arch. Overdentures, supported by mini-implants or regular/locators, provide a secure and stable solution for patients with removable dentures, enhancing their comfort and confidence. For those with extensive tooth loss, hybrid prosthesis and All-On-X techniques offer a comprehensive and fixed solution, replacing an entire arch of teeth with a stable and natural-looking implant-supported restoration. With implant dentistry, patients can enjoy the benefits of a complete smile, improved chewing ability, and enhanced quality of life.

What are dental implants?

Dental implants are titanium posts surgically inserted into the jawbone to replace missing teeth. They serve as artificial tooth roots, providing a stable foundation for various types of dental restorations, such as crows, bridges or dentures. Dental implants integrate with the surrounding bone through osseointegration, ensuring a secure and durable restoration that closely resembles natural teeth in both form and function.

The Advantages of Dental Implants:

  1. Improved Stability: Unlike traditional removable dentures or bridges, dental implants offer superior stability and prevent shifting or slipping during daily activities such as eating or speaking. This stability enhances patient comfort or confidence.
  2. Preservation of Adjacent Teeth: Dental implants eliminate the need to involve adjacent teeth as support structures, preserving their integrity and avoiding unnecessary alterations or damage.
  3. Enhanced Bone Health: Tooth loss can lead to bone resorption, where the jawbone deteriorates over time. Dental implants stimulate the underlying bone, preventing bone loss and maintaining its volume and density.
  4. Restored functionality: Dental implants restore the ability to chew and bite properly. They also support clear and natural speech, enhancing overall oral functionality.
  5. Aesthetically pleasing results: With their natural appearance and seamless integration, dental implants provide aesthetically pleasing results that closely resembles natural teeth. This contributes to a confident smile and an improved self-esteem.

Dental Implant Procedures Offered:

  1. Single tooth Implant: This procedure involves the placement of a single dental implant followed by the attachment of a custom-made dental crown. It is an ideal solution for patients missing a single tooth.
  2. Implant supported bridge: For patients with multiple missing teeth in a row, implant supported bridge offers a stable and functional solution. These bridges are secured to dental implants on either side, eliminating the need for support from adjacent teeth. We have a holistic approach while improving your smile with a focus on the entire dentofacial complex.
  3. Implant retained dentures: Dental implants can provide stability and support for removable dentures. By attaching the denture to dental implants, patients experience enhanced comfort and stability, eliminating concerns about denture movement or slippage.
  4. Full-Arch Implant Supported Prosthesis: In cases of extensive tooth loss, full-arch implant-supported prosthetics, such as hybrid prostheses or the All-On-4/All-On-6 techniques, offer comprehensive solutions. These restorations provide a fixed set of teeth that restore both functionality and aesthetics.

Our Commitment to Clinical Excellence: At Dentist4 Better Quality of Life, we prioritize clinical excellence and strive to deliver the highest quality of care to our patients. Our experienced dental team utilizes the latest technology, advanced treatment techniques, and evidence-based protocols to ensure successful outcomes in dental implant procedures. We believe in a patient-centered approach, tailoring treatment plans to meet individual needs and goals. Our dedicated professionals provide comprehensive pre-operative evaluations, precise implant placement, meticulous restorative procedures, and attentive post-operative care to ensure optimal clinical outcomes and patient satisfaction.

Schedule Your Clinical Consultation

If you are seeking a clinical solution for tooth loss, we invite you to schedule a consultation with our skilled dental team. During this visit, we will conduct a thorough examination, review your medical and dental history, discuss treatment options, and address any concerns you may have. We are committed to providing you with a personalized treatment plan that meets your specific clinical needs.

Regain your oral health, functionality, and confidence with dental implants. Contact us today to schedule your clinical consultation and take the first step toward a restored smile.

Other Procedures we perform:

You can talk about your Dental Implants with these specialists at Dentist4:

Contact Us

Send Us an Email

Our Location

Find us on the map

Hours of Operation

Our Regular Schedule

Pompano Beach, FL

Monday:

9:00 am-5:00 pm

Tuesday:

Closed

Wednesday:

9:00 am-5:00 pm

Thursday:

Closed

Friday:

Closed

Saturday:

8:00 am-1:00 pm

Sunday:

Closed